
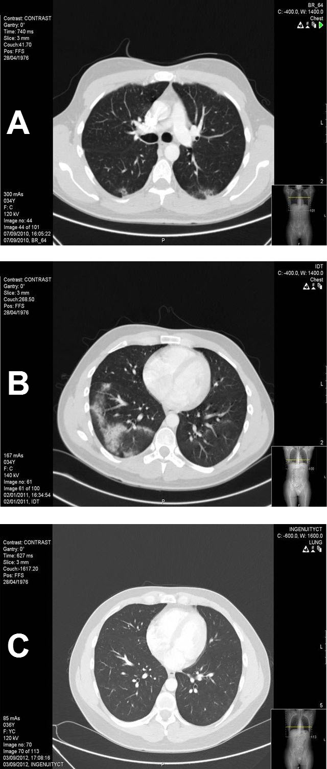
Figure 1.
A CT Scan Following Completion of BEP Regimen (cumulative bleomycin dose 240 units) at 2 Months (A), 5 Months (B), 10 Months (C).
A) 2 months: Interstitial alveolar infiltrates in the posterior, hanging parts of the right and left lower lobes; B) 5 months: Alveolar shadows in various sizes confined to both lung bases, more on the right side but also on the right middle and upper lobes—clear worsening compared to 1A; C) 10 months: Clear regression and improvement in the right lower and right middle lobes.