
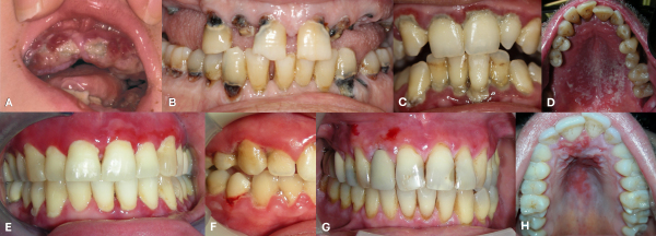
Figure 1.
Representative Clinical Photographs Illustrating Oral Conditions Considered in the Differential Diagnosis Discussed in this Study.
A: Gingival manifestations of scurvy in a young patient. Image courtesy of Michael Weinstein MD, Division of Paediatric Medicine, The Hospital for Sick Children, University of Toronto, Canada. B: Extensive carious destruction of the dentition with tooth loss, commonly accompanied by dental pain. C: Bacterial plaque-induced gingivitis. D: Oral candidiasis involving the hard palate and palatal gingiva of the maxilla. E: Vesiculobullous disease affecting the gingiva. F: Necrotizing ulcerative gingivitis. G: Erosive oral lichen planus involving the gingiva. H: Recurrent herpes simplex infection involving the hard palate and palatal gingiva of the maxilla.